Armco Asbestos Surveys
Last Updated on 20th February 2024 by
Asbestos related diseases are caused by exposure to asbestos, where the asbestos fibers are inhaled and affect the lungs and pleura.
There are various types of asbestos related diseases that a person may develop.
These include non-malignant (non cancerous) diseases such as asbestosis, pleural plaques, pleural effusion, diffuse pleural thickening, rounded atelectasis and malignant diseases (cancerous) such as lung cancer and mesothelioma.
Anyone who has worked in jobs where there has been high asbestos dust exposure are at the highest risk of developing one of these asbestos related diseases.
This will include tradesmen, factory workers, miners, shipbuilders and construction workers.
Families of these workers will also be at high risk because of work clothing being contaminated with asbestos fibers.
And it’s not just workers and their families who are at risk – environmental exposure can also cause asbestos related diseases within the general public.
For example, factories who made materials containing asbestos, old buildings in deterioration or buildings on fire that contain ACM’s will mean people living nearby are at risk of asbestos exposure.
This is due to the asbestos fibers being released into the atmosphere, which could lead to health problems in years to come, including asbestos related diseases.
Because asbestos was so popular before the asbestos ban in 2000 and used in lots of common building materials, it means that a lot of older buildings constructed before this time are most likely to contain asbestos.
Asbestos becomes a health hazard when it’s disturbed, particularly during home DIY or renovation projects.
Once a person inhales the airbourne asbestos fibers, the tiny fibers, which are invisible to the naked eye, go on to enter the upper and lower respiratory tracts.
Scientific studies have shown that not all of these fibers will enter the lungs, but those that do can remain there for many years before they start to cause problems.
The lung’s immune system will eventually kick in and try to reject these tiny asbestos fibers, leading to inflammation, cell and tissue damage.
Over a long period of time, this can eventually lead to one of the asbestos related diseases, which may be fibrosis or malignant disease.
It’s also possible that some asbestos fibers that have entered the lungs can sometimes migrate to pleural and peritoneal spaces.

Asbestos exposure can lead to what are known as ‘benign’ pleural abnormalities which consist of four different types of pleural changes:-
As the pleura is more sensitive than the lungs to asbestos fibers, this means that those people exposed to only a low dose of asbestos can be at risk of developing pleural diseases.
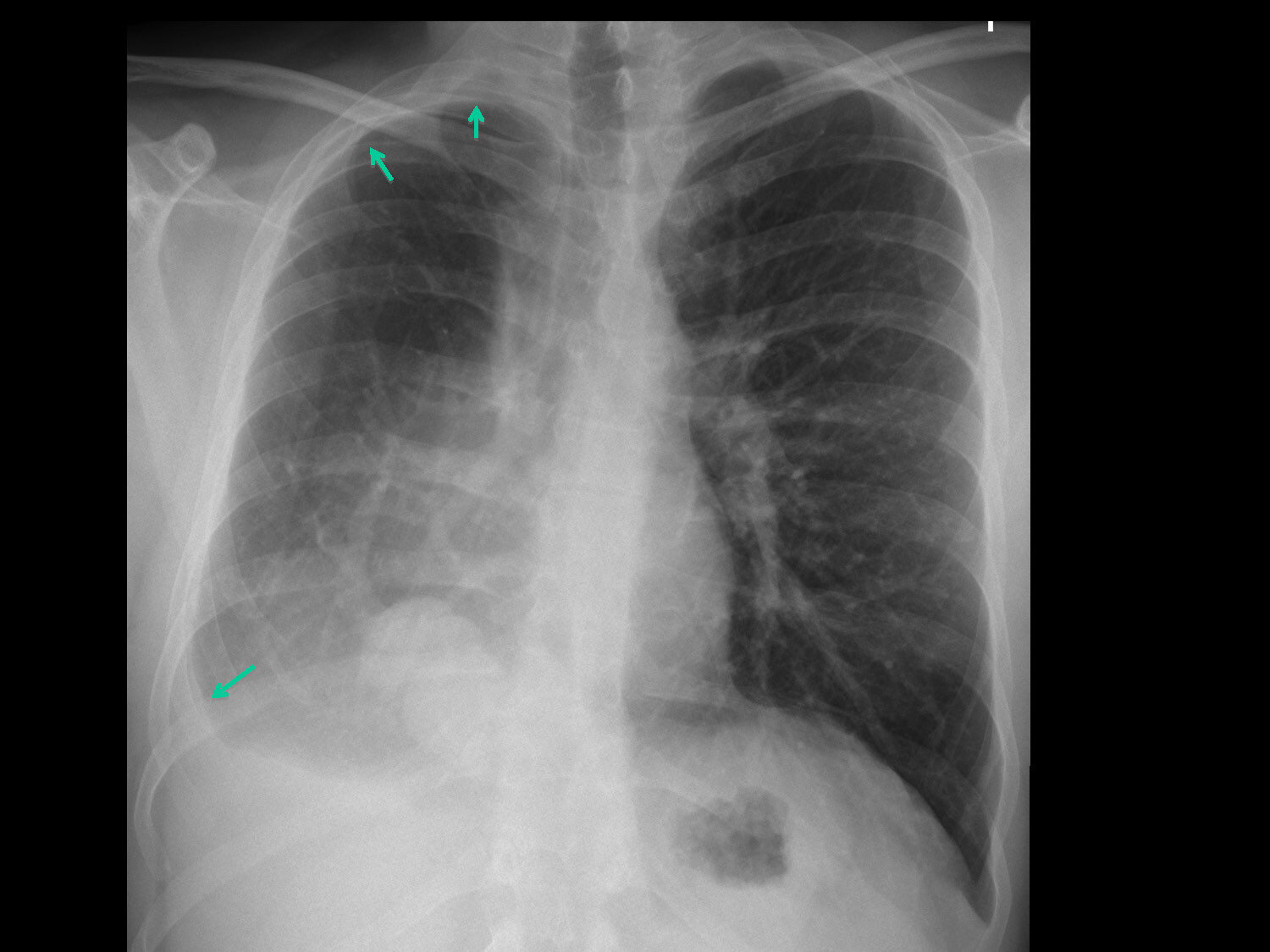
The most common diseases related to exposure to asbestos are pleural plaques. which affect up to 58% of people exposed to asbestos.
Pleural plaques are best described as small patches of thickening of the parietal pleura, and very rarely the visceral pleura which develop between 20-40 years after exposure.
They are white or pale yellow in appearance and are usually found on the chest wall, diaphragm, and mediastinal pleura.
Varying in number and size, pleural plaques are typically asymptomatic.
Pleural plaques themselves are not pre-malignant and are normally diagnosed via chest x-ray or CT scan.
Diffuse pleural thickening is best described as non circumscribed fibrous thickening of the visceral pleura, with areas of adherence to the parietal pleura and obliteration of the pleural space.
It can spread over an entire lobe or lung, with fibrotic areas involving costophrenic angles, apices, lung bases, and interlobar fissures.
Thickness can range from less than 1 mm up to 1 cm or more.
Diffuse pleural thickening develops 20 to 40 years after initial asbestos exposure and can be caused by all types of asbestos.
The fibrous strands from the thickened pleura extending into the lung parenchyma can be usually be detected on a CT scan.
Pleural plaques often co-exist with diffuse pleural thickening, although pleural plaques on their own are most common.
Symptoms of this asbestos related disease include shortness of breath and chest pain, although most patients are only mildly impaired by the condition.
CT scans can detect early signs of diffuse pleural thickening.
The diagnosis for diffuse pleural thickening describes it as a continuous sheet of pleural thickening more than 5 cm wide, measuring more than 8 cm in craniocaudal extent and more than 3 mm thick.
Benign asbestos pleural effusion is a buildup of fluid between the two pleural layers following exposure to asbestos.
One of the least common of the asbestos related diseases, this asbestos related disease usually shows its earliest signs within 10 years of initial exposure.
There are often no symptoms of the disease, but sometimes patients may experience pain, fever or breathlessness.
Symptoms may progress onto those of diffuse pleural thickening.
Rounded atelectasis (also known as Blesovsky’s or folded lung syndrome) develops from infolding of thickened visceral pleura with collapse of the intervening lung parenchyma.
It is the least common of the asbestos related benign pleural diseases.
Although the most likely cause of the disease is exposure to asbestos, it can also be caused by other medical conditions.
It’s a chronic condition and usually asymptomatic.
One of the most common of all the asbestos related diseases is asbestosis.
Asbestosis is a chronic lung disease caused by scarring of lung tissue, resulting from exposure to high levels of asbestos over a long period of time.
It can take 15 years or more for the symptoms of the asbestos disease to appear.
Asbestosis is a progressive disease, meaning it continues to grow in the lungs, even if no further asbestos is inhaled.
Scar tissue causes the lining of the lungs to thicken, causing patients to experience shortness of breath.
The condition can lead to malignancies and an increased risk of heart conditions.
Malignant mesothelioma is probably the most aggressive of the asbestos related diseases.
It’s an incurable tumour and is the only disease proven to be directly caused by asbestos exposure.
The most common type of mesothelioma is pleural mesothelioma, which is seen in about 75% of cases.
Then the 2nd most common type is peritoneal mesothelioma which accounts for up to 20% of cases.
Because mesothelioma has such a long latency period, it means that the symptoms may not show until between 20 and 50 years following the initial exposure to asbestos.
Some of the common symptoms of mesothelioma include shortness of breath, a persistent cough, chronic chest pain and weight loss.
It can be difficult to diagnose mesothelioma, but methods include a physical examination, chest X-rays, lung function tests, CT scan and MRI.
In order to confirm a definite diagnosis of malignant mesothelioma, a biopsy needs to be taken from the patient.
Most people who are diagnosed with mesothelioma tend to die within only a year of diagnosis.
Treatments for this disease include surgery, chemotherapy, radiotherapy, or multimodality treatment.
Lung cancer can have various causes, one of which is related to exposure to asbestos.
In fact, 3%-8% of all lung cancer diseases are estimated to be directly related to asbestos.
It takes between 20 to 30 years following asbestos exposure for lung cancer to develop.
Workers who have been exposed to asbestos and also smoke are more at risk of developing lung cancer.
Typical symptoms of lung cancer include chronic cough, breathlessness, chest pain, wheezing, coughing up blood, fatigue and weight loss.
There are various treatments available to treat the cancer including surgical removal of the cancer, radiotherapy, chemotherapy or a combination of theses treatments.
Survival rates are poor with only 15% of patients living for 5 years following diagnosis, so it’s important the disease is diagnosed early.
Article source:- https://en.wikipedia.org/wiki/Asbestos-related_diseases
Duty holders and employers have a legal responsibility to manage asbestos in their properties, carrying out an asbestos survey in their buildings so as not to put employees at risk.
So make sure you contact our Armco office to arrange asbestos testing or an asbestos survey before it’s too late!
Whether you need an asbestos management survey or a refurbishment/ demolition survey, contact us at 0161 763 3727 or by visiting https://www.armco.org.uk/
Finally, for all your asbestos training needs call 0161 761 4424 or visit https://www.armcoasbestostraining.co.uk/to book an asbestos awareness training course.
Published Jul 15, 2019